在近日举行的第七届微系统与纳米工程国际会议暨青年科学家论坛(Microsystem & Nanoengineering Summit 2020,简称MINE)上,清华大学航天航空学院副教授邵玥作了主题为“生物微系统与合成人类胚胎学进展”(Biological Microsystems for Advancing Synthetic Human Embryology)的大会报告并获得大会颁发的青年科学家奖(Young Scientist Award)。
本届大会由中国科学院与Nature出版集团联合主办,54位来自麻省理工学院、斯坦福大学、加州理工学院、新加坡国立大学、法国国家科学研究中心、清华大学、上海交通大学等世界知名高校与科研单位的青年科学家参与了最终的云论坛并角逐青年科学家奖,会议观众逾25000人。
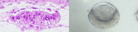
人类胚胎早期发育对人类繁衍与生殖健康有决定性意义,但由于样本获取难度大且对活胚胎的体内外研究受到严格伦理学限制,导致人类胚胎早期发育研究长期以来基本处于“技术真空”。为打破这一技术真空,邵玥近年来独创联合应用人多能干细胞与机械微系统在体外重建早期胚胎发育结构及其动态演化过程,率先发表了一系列“无胚化”的人类胚胎学体外模型技术,在不使用活胚胎的前提下研究早期胚胎结构的发育,并推动药物胚胎毒理学研究中人源模型技术的建立与应用,奠定了“合成人类胚胎学”这一新领域的基础,实现了技术上可行、伦理上安全的人类胚胎学研究新方法,为早期发育相关的基础研究和医药与公共卫生应用技术研发打开了新方向,并入选《麻省理工科技评论》“2018年十大突破性技术”。

图为 后着床期人类胚胎的核心结构—羊膜囊(左)与基于干细胞构建的羊膜囊类胚胎(右)
邵玥,2008年和2011年分别在清华大学获本科与硕士学位,2017年博士毕业于美国密歇根大学,后在麻省理工学院和哈佛医学院联合开展博士后研究。2019年受聘清华大学航天航空学院副教授,获人才计划支持。现任生物力学与医学工程研究所副所长。主要面向干细胞与人类发育、疾病、再生相关重大问题与关键技术开展医工交叉基础与应用研究。
获奖链接:
(供稿:邵玥)